
台北新莊「台兒醫療總部」,高層次超音波檢查(中期孕檢)主要在懷孕22至24週進行,需要先在線上進行預約,之後會由專人打電話確認預約時間!上一胎是在中山北路的台兒由林丹薇醫師替我做檢查,這一胎則是到了新莊總部由張東曜醫師替我做檢查,單胞胎的高層次超音波檢查費用為5900元,全程總耗時約3小時(大多為等待的時間)!
🔍 我的FB粉絲團:瑋瑋 美食萬歲 Facebook
🔍 我的IG粉絲團:瑋瑋 美食萬歲 Instagram
【試管植入PGS正常胚胎】
延伸閱讀:【王家瑋婦產科】相隔三年,我的試管IVF胚胎植入!植入一顆4BC等級PGS正常胚胎結果!
【懷孕17週|柯滄銘婦產科診所|羊膜穿刺&羊水晶片檢查】
延伸閱讀:【柯滄銘婦產科診所】懷孕17週.2025年羊膜穿刺+羊水晶片檢查(檢查費用&報告等多久)
【高層次超音波Q&A】
【台兒診所|線上預約】

▲因為在台兒的官方網站上沒有「高層次超音波」這個選項可以預約,詢問客服人員後才得知,原來做這個檢查,是要選擇裡面的「中期胎檢(22-24W)」這個項目(線上預約請點我)!而我是預約在22週+2天的時候做檢查!

▲台兒醫療總部位於新莊,如果搭乘大眾運輸工具,可搭乘台北捷運環狀線或桃園捷運機場線到「新北產業園區」站下車,下車後再步行約10分鐘可抵達!開車的話他們沒有設停車場,需要停在附近的收費停車場再步行過去唷!
我們則是停在附近「福慧路」上的收費停車場,是說這邊的停車場有好幾個,車位算多,還算是蠻好停的,停車費也還蠻合理的!停好車後步行約5分鐘可以到診所!

▲是說我們停好車以後走到「台兒醫療總部」一度找不到正門,還是看了標示圖片以後,才順利找到!
▲走進大樓以後需要先到一樓櫃檯找看板,上面寫著上樓的方式,需要先拍攝看板上面的QR CODE(只要拍照,網站連結不要點),再用QR CODE掃描搭乘電梯到「台兒醫療總部」!

▲剛剛拍攝的QR CODE照片,需要一人用一台手機拍攝,然後刷條碼通過這個閘口,再到一旁搭乘電梯上樓!

▲我原本是想預約中山北路上的台兒做高層次檢查,但這次預約時才發現,現在幾乎所有的檢查都在新莊總部進行!中山北路上的台兒診次變得很少,很難掛到想要的時間和醫生!

▲在預約的時間抵達「台兒醫療總部」,先到櫃台處報到,記得要攜帶「身分證」、「媽媽手冊」、「檢查報告」等資料,付款現金5900元。
但第二胎真的太Chill,我到現場才發現我只帶了身分證,沒帶到媽媽手冊和之前的所有檢查報告😅
▲這裡的休息區座位數還算多,因為到診所的人都是有預約的,人流有控制,不至於會到客滿的狀態。

▲這邊是聽報到的地方,等高層次超音波做完以後,會由放射師告知詳細的結果。
▲他們的洗手間備有尿布台,還算是蠻親子友善的!

▲這邊還設有一台小餐車,做高層次超音波時,若需要一點小零食和飲料讓baby改變位置,就可以投幣購買!但飲料都是常溫沒有冷飲,想喝冰的就需要自備,或是走出去到便利商店購買!

▲看診前會需要先填寫問券~
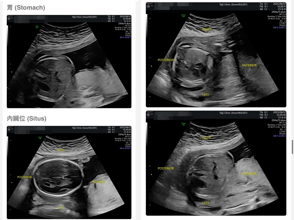
【高層次超音波檢查】

▲診間是一人一間,躺好以後上方會有螢幕可以看照高層次的過程,床位蠻舒適的,一旁會有椅子給陪同家屬坐,在照高層次超音波的過程不能拍攝,所以我們是在等候時拍了兩張環境圖!
預約這天我11:00準時報到,接著會進行量體重、量血壓、確認資本資料、給收據,等候服務人員安排檢查!
等到11:50進入診間檢查,先照了陰道超音波,確認子宮頸的長度,再照腹部超音波,11:55照完以後會再請家人進到診間內陪同!
在診間內會先由放射師進行高層次超音波檢查,在12:10-12:15由張東曜醫師進來檢查,再由放射師接手,然後因為寶寶都趴著不動,所以要我先改側躺三分鐘後再繼續照,結果12:35寶寶轉正了,醫師進來照5分鐘,照完後再由放射師接手,第一輪的檢查在12:45結束!
因為還有一些部位沒有照到,無法一次結束!放射師只說之後有下一組人要檢查了,無法讓我繼續檢查,就要我出去休息一下再回來!但如果回來後寶寶還是沒有改變位置,還有可能要我改天再回來檢查😱
▲因為只要沒有在第一階段照好,就是要我們再等一小時,等下一組人照完以後才能再進去!我們就先用FoodPanda隨意點了便當,然後趕快吃一吃填飽肚子,不然正中午的也是等到肚子很餓呢!

▲過了一個小時,等到13:45後又被叫到診間繼續檢查,等到13:50放射師請醫師把最後的部分照完,而張東曜醫師大概只花了1-2分鐘完成最後的檢查!然後再由放射師於13:55完成最後所有的高層次超音波檢查,我們就準備離開診間,移動到會議室聽報告!
結論:張東曜醫師全程大約照了12分鐘左右,其餘檢查時間皆由放射師操作並記錄。(上半場檢查55分鐘,由放射師檢查45分鐘、張東曜醫師檢查10分鐘,下半場檢查10分鐘、由放射師檢查8分鐘、張東曜醫師檢查2分鐘)
放射師很認真很專業,但是過程寶寶沒轉身只讓我側躺一次,不讓我有機會再轉另一邊,就讓我要出診間再外面多等一個小時,之後花了10分鐘就完成所有的檢查,覺得照高層次大多時間都花在等待上!真的頗累😭
▲聽完檢查報告以後,我們就到板橋吃了春水堂,再到附近的ABV工作,結束這忙碌的一天!

▲晚餐和我老公一起,還約了我表妹到ABV用餐,韓式燒肉會有專人在桌邊代烤,能輕鬆大啖美食!而洋釀炸雞、海鮮煎餅、人蔘一隻雞也很出色,未來也會想再訪,嚐鮮他們其他的品項啦🥰
延伸閱讀:新北板橋美食|『ABV Bar & Kitchen 韓式餐酒館』板橋車站道地韓式料理餐酒館&超過300款精釀啤酒!韓式小菜吃到飽~還有桌邊韓式烤肉服務!
【台兒|高層次超音波|檢查結果】

▲離開診所後會收到MAIL,我們14:05離開,大約是16:45收到mail,裡面會有滿滿的超音波照片,紀錄的很詳細!也會提供紙本的報告,可以給日後產檢的醫師做參考👌
【總結】
相隔三年再次到台兒做高層次超音波檢查,2022年的時候檢查費是5300元,2025年的時候檢查費用調漲為5900元,而且這邊只收現金不能刷卡,一定要自己先準備好現金喔!還要記得帶「身分證」、「媽媽手冊」、「其他檢查報告」!
現在他們在中山北路的門診診次很少,基本上都需要到新莊總部進行檢查,對我來說,交通比較不方便一些。
第一胎是由林丹薇醫師檢查,中間休息30分鐘,醫師檢查約30分鐘,其餘由放射師檢查,全程耗時2.5小時!
第二胎是由張東曜醫師檢查,中間休息60分鐘,醫師檢查約12分鐘,其餘由放射師檢查,全程耗時約3小時!
(報到後等檢查的時間約50分鐘,上半場檢查55分鐘,其中由放射師檢查45分鐘、張東曜醫師檢查10分鐘,要我出去休息一小時換其他產婦照高音波,接著下半場檢查10分鐘、其中由放射師檢查8分鐘、張東曜醫師檢查2分鐘,聽放射師講解報告約10分鐘,全程耗時約3小時,等待的時間比實際照高層次的時間還長😭)
是說放射師和張東曜醫師在執行的過程都很專業,雖然檢查過程有一些太不舒服的時候,但都還在能接受的範圍!缺點就是等待檢查的時間過長,其實過程可以讓媽媽更積極的幫寶寶改變位置,而非只能讓媽媽出診間休息,這樣應該能縮短不少作業的時間!若決定要安排到這邊檢查,您可能需要多預留一些時間,也要有多一點的耐心啊🙏
如果您喜歡我的文章,歡迎來信洽談合作。
私訊粉絲團:https://www.facebook.com/vivaweiblog/
E-MAIL請洽:[email protected]
版權所有 © 瑋瑋美食萬歲
(非邀約合作店家,嚴禁使用圖文做為商業用途,嚴禁擷取我的圖文做任何背書)
按讚加入粉絲團
